Vieni nel nostro studio dentistico a Roma per un trattamento di sbiancamento dentale professionale. Lo studio Filanti offre sbiancamento dei denti di alta qualità. Chiamaci al numero 06 855 8165 per prenotare la tua visita. Rimuovi macchie dentali e ottieni un sorriso più bianco con il nostro dentista estetico specializzato. Scegli la competenza e l'esperienza dello studio Filanti per il tuo sbiancamento dentale a Roma.
Sbiancamento professionale dei denti a Roma | Studio Filanti
Nello Studio Filanti è stata sempre dedicata la massima attenzione all’estetica dentale così da restituire un sorriso perfetto e naturale a chi l’aveva perso.Il sorriso è il nostro primo biglietto da visita e per questo è così importante che venga valorizzato come merita.
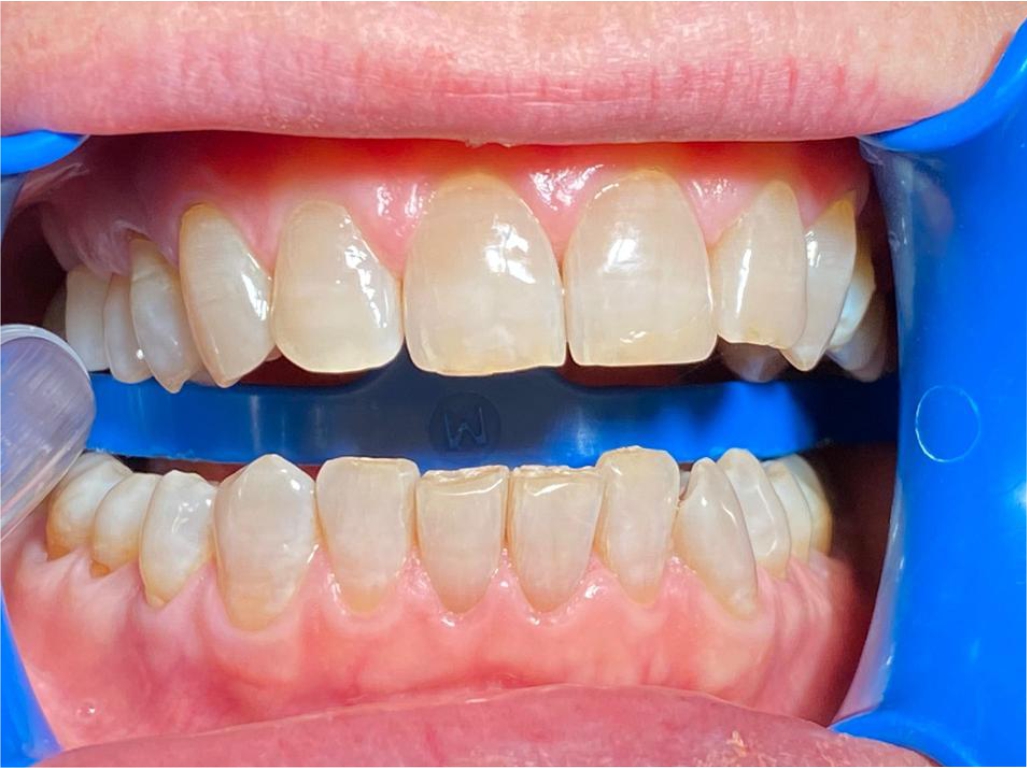
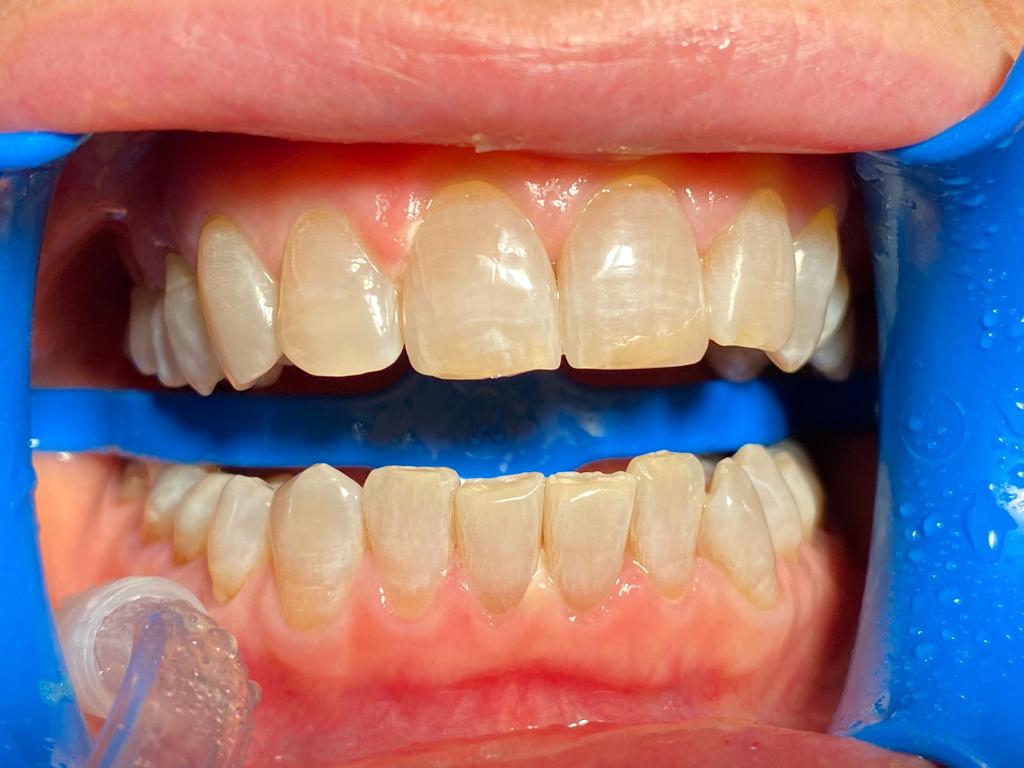
Lo Sbiancamento professionale, o sbiancamento dentale è una procedura odontoiatrica che permette di migliorare il colore dei denti, rendendoli più bianchi. E' un trattamento cosiddetto "cosmetico", utile per risolvere discromie estrinseche dentali, cioè quelle dovute a pigmentazioni della superficie esterna del dente. I prodotti che vengono utilizzati a tal fine contengono principalmente perossido di idrogeno, impiegati in varie concentrazioni. Questo attraverso la liberazione sulla superficie dello smalto ed all'interno dei tubuli dentinali una volta penetrato all'interno del dente, libera ioni disgregando le pigmentazioni chimicamente. Il perossido di idrogeno deve essere utilizzato da personale qualificato, solo all'interno dello studio e non è per nessun motivo nocivo, o lesivo per le strutture dentarie.
Lo sbiancamento dentale professionale è particolarmente indicato nei casi in cui i denti siano ingialliti da caffè, fumo o dal consumo costante e prolungato di bevande contenenti coloranti. Grazie a questa procedura infatti si potrà ottenere un ottimo risultato in termini di cromia, armonizzando perfettamente il sorriso.
Inoltre, lo sbiancamento dei denti professionale è particolarmente consigliato per dare nuova luce al sorriso e per farlo tornare a risplendere in quei casi in cui aveva perso un po’ della sua luce a causa del depositarsi degli agenti pigmentanti sui denti nel corso del tempo.
Su qualsiasi trattamento che porta i denti ad apparire più bianchi anche se spesso il raggiungimento del tanto desiderato candore non è semplice, influiscono vari fattori come le caratteristiche genetiche, le cattive abitudini (fumo), il passare del tempo e l'assunzione di cibi o bevande particolari (caffè, liquori). Per riportare il colore dei denti al bianco e alla luminosità di un tempo è possibile scegliere tra diverse tipologie di trattamenti sbiancanti, rapidi e non invasivi.
Indicazioni: Prima di procedere con lo sbiancamento denti è opportuno distinguere tra discromie superficiali (eccessivo consumo di caffè o dal tabacco), oppure più o meno profonde (assunzione di alcuni tipi di farmaci). Inoltre, può essere effettuato sia su denti vitali che su denti che hanno perso di vitalità.
Tipi di Sbiancamento: può essere eseguito tramite sfregamento (sbiancamento meccanico), oppure con sostanze decoloranti (sbiancamento chimico). È sempre consigliato procedere rivolgendosi a studi professionali o centri specializzati per poi proseguire con trattamenti combinati ossia, "studio dentistico – casa” così da aiutare a mantenere il risultato ottenuto.
Presso lo Studio Filanti offriamo tecniche di sbiancamento dentale non invasive per migliorare l'aspetto dei tuoi denti. Utilizziamo metodi sicuri e efficaci per rimuovere macchie e discolorazioni, restituendoti un sorriso radioso.
Contattaci al numero +39 06 855 8165
per prenotare una consulenza gratuita con i nostri esperti dentisti.
Scegli lo Studio Filanti per un sorriso brillante e affascinante!
Tecniche di sbiancamento professionale a Roma | Studio Filanti
Detartrasi professionale: solo dopo aver eseguito la detartrasi, è possibile procedere con il vero e proprio sbiancamento. Si tratta di un'accurata pulizia dentale che rimuove il tartaro, la placca ed eventuali pigmentazioni esterne, attraverso l'uso di un getto di aria, acqua e bicarbonato di sodio, erogato da uno specifico strumento direttamente sulla superficie dentale.
Bleaching: è la tecnica professionale maggiormente utilizzata dagli studi dentistici, definita "sbiancamento dei denti alla poltrona"; sfrutta l'azione di agenti sbiancanti chimici ad alta concentrazione che possono essere o meno potenziati da specifiche lampade che ne favoriscono l'azione in profondità attraverso l’uso di gel a base di perossido di idrogeno al 38% (15’ – 2/4 applicazioni in più sedute) e gel a base di perossido di carbamide al 45% (mascherine lasciate in posa per 30’)
Laser: In alcuni casi, l'azione degli agenti sbiancanti può essere potenziata attraverso l'uso di sorgenti luminose in cui è previsto l'uso di perossido d'idrogeno ad alte concentrazioni applicato sulla superficie dentale e irradiato con un laser ad una lunghezza d'onda ben precisa, il calore generato dall'irradiazione rilascia radicali liberi in grado di penetrare nella struttura del dente innescando all'interno del dente reazioni di ossidoriduzione che scompongono le molecole delle macchie in composti più piccoli, incolori e facilmente eliminabili. Dopo la seduta, è importante evitare per almeno 24 ore il fumo e l'assunzione di cibi e bevande coloranti.
Risultati: dipendono dalla concentrazione del principio attivo, dal suo tempo di posa sui denti ma in generale un intervento professionale garantisce il miglior risultato possibile senza effetti indesiderati grazie all’adeguata protezione delle gengive, lingua e labbra con presidi utili anche per aumentare il comfort della seduta.
Controindicazioni e costi: è sconsigliato ai ragazzi di età inferiore ai 14 anni e alle donne in gravidanza o in periodo di allattamento. La durata della singola seduta di bleaching attraverso l’uso di agenti sbiancanti potenziati da fonti luminose può variare dai 40 ai 60 minuti .
Bleaching di denti non vitali: viene inserito il perossido d'idrogeno al 35% direttamente all'interno del dente che si vuole sbiancare, si effettua un'otturazione provvisoria, trascorsi due o tre giorni, il paziente deve recarsi nuovamente in ambulatorio dove l'odontoiatra verificherà il grado di sbiancamento ottenuto e valuterà la necessità di effettuare o meno un'ulteriore applicazione.
Mascherine sbiancanti: in molti casi il dentista può realizzare delle mascherine personalizzate in silicone morbido nelle quali viene inserita la giusta quantità di sostanze sbiancanti in gel e si procede con l'applicazione sui denti con sedute variabili dai 30 minuti alle 4-8 ore (secondo le indicazioni del dentista) e ripetendo l'operazione per circa una settimana, si ottiene un ottimo effetto sbiancante. Generalmente, la durata dell'effetto è di circa 5-6 anni, ammesso che nel corso di questo periodo si effettuino richiami di breve durata.
Striscette sbiancanti: le "whitestrips", striscette adesive a base di agenti sbiancanti che aderiscono ai denti per 30 minuti, 2 volte al dì, per 14 giorni. Economico, pratico, con scarsa efficacia, tempi lunghi e risultati garantiti per pochi mesi.
Puoi scaricare qui sotto, le indicazioni post trattamento per i nostri pazienti che hanno effettuato lo sbiancamento presso il nostro studio.





