Estetica dentale Roma | Studio Filanti

 

L’estetica dentale è quella branca dell’odontoiatria che cura i problemi legati alla bellezza dei denti e del cavo orale. Si pone come obiettivo assoluto quello di regalare al paziente un sorriso perfetto. Il sorriso è il nostro primo biglietto da visita e per questo è così importante che venga valorizzato come merita. Nello Studio Filanti è stata sempre dedicata la massima attenzione all’estetica dentale così da restituire un sorriso perfetto e naturale a chi l’aveva perso. L’obiettivo di ogni intervento di odontoiatria estetica è infatti il raggiungimento di risultati di altissimo livello, per la massima soddisfazione dei pazienti.

 

Lo Studio Filanti garantisce infatti ai suoi pazienti trattamenti di estetica dentale di grandissima qualità con materiali assolutamente certificati e garantiti.

 

La nostra filosofia è quella di assicurare un trattamento di odontoiatria estetica d’eccellenza, utilizzando solo prodotti che assicurano sempre risultati soddisfacenti a tutti i pazienti. L’odontoiatria estetica infatti è sinonimo di efficienza e qualità, di cura per i dettagli. L’obiettivo finale è sempre il medesimo ovvero quello di soddisfare i pazienti attraverso l’utilizzo di soluzioni qualitativamente ottime e dal risultato garantito.

 

In cosa consiste l’odontoiatria estetica? | Dentista estetico Roma

 

 

Faccette Dentali a Roma | Studio dentistico Filanti

 

L’odontoiatria estetica promuove diversi trattamenti atti a risolvere i vari inestetismi dentali, con l’obiettivo di creare la giusta armonia nell’apparato orale. Tra le varie tecniche di estetica dentale possiamo trovare ad esempio le faccette dentali, in grado di modificare forma e colore dei denti tramite l’applicazione di sottilissime lamine in ceramica.

 

 

 

 

Chirurgia orale e mucogengivale a Roma | Studio Filanti

 

Altra tecnica  di estetica dentale è la chirurgia mucogengivale che si dedica al trattamento di alterazioni estetiche mucogengivali, ovvero recessioni gengivali "fenomeno dei denti lunghi" che sono spesso associate ad abrasioni cervicali.

 

Gli obiettivi della chirurgia estetica mucogengivale sono pertanto l’incremento di volume ed altezza gengivale intorno a denti naturali o elementi protesici, andando a ristabilire la fisiologica convessità anatomica della gengiva intorno al dente.

 

 

 

 

 

 

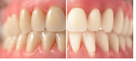
 Sbiancamento dentale a Roma | Studio dentistico Filanti

 

Altra tecnica di estetica dentale è ad esempio lo sbiancamento dentale professionale che ha l’obiettivo di far raggiungere al paziente il colore dei denti desiderato.

 

 

 

 

 

 

Ortodonzia invisibile a Roma | Studio dentistico Filanti

 

Lo Studio Filanti a Roma è un centro specializzato in ortodonzia invisibile e provider Invisalign. Non per ultimo, possiamo ricordare anche gli apparecchi ortodontici, come ad esempio le mascherine invisibili dell'invisalign, ideali per correggere il problema dei denti storti con una garanzia sul risultato.

 

 

 

 

 

 

 Terapia delle discorimie dentarie a Roma | Studio Filanti

 

Uno degli altri  principi dell'odontoiatria estetica è legato anche alla terapia conservativa e alle discomie dentarie. Con l’odontoiatria conservativa ci occupiamo di carie, la causa più diffusa di danneggiamento del dente naturale, che affrontiamo con le più moderne tecniche di preservazione e recupero del dente naturale. Per recuperare le discromie e quindi il colore, serve rimuovere le pigmentazioni che avvengono naturalmente sui denti con i cibi e le bevande, effettuando trattamenti di ablazione del tartaro e sbiancamento professionale in primis, che sono sempre mirati e personalizzati a rimuovere tutte le macchie atti a ridare la lucentezza naturale che desideriamo avere.

 

 

Migliore biocompatibilità ed estetica eccellente

 

Anche nella prassi conservativa l’evoluzione tecnologica ha portato importanti miglioramenti consentendo l’utilizzo di materiali e strumenti sempre più sofisticati che permettono di curare patologie come la carie in modo sempre meno invasivo e con risultati estetici eccellenti. Le otturazioni con materiali estetici, perfettamente mimetizzabili con il dente naturale, si integra perfettamente  con il dente naturale e diventa praticamente invisibile.

AGEVOLAZIONI E CONVENZIONI

Paga in piccole rate

PAGODIL

Grazie a PagoDIL puoi dilazionare il costo delle tue cure dentali, senza interessi e senza alcun costo aggiuntivo .

Scopri di più

PRESTITO PERSONALIZZATO

PRESTITO PERSONALIZZATO

Puoi chiedere fino a 30.000€ e hai fino a 84 mesi per restituirli. La procedura è 100% online.

Scopri di più

ASSICURAZIONE UNISALUTE

CONVENZIONE UNISALUTE

La polizza UniSalute Dentista ti copre visita e igiene orale annuali, interventi chirurgici fino a 1.500 €

Scopri di più