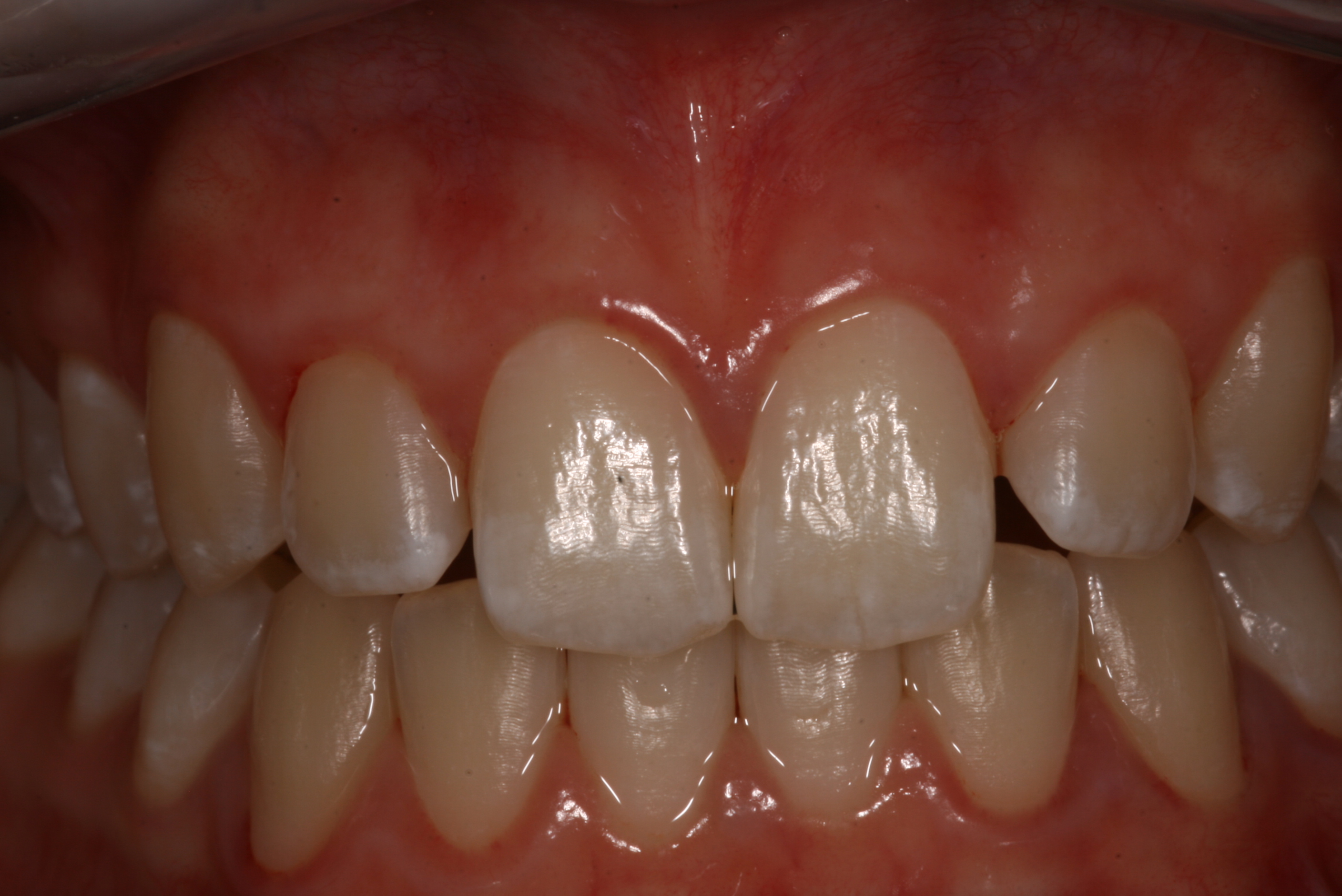
Ragazza di 15 anni insoddisfatta del proprio sorriso.
All’esame obiettivo la paziente presentava una differenza di dimensioni tra gli incisivi centrali ed i laterali ed in piccola parte del canino di dx.
Per risolvere il caso considerando la giovane eta’ della paziente, abbiamo deciso di ricostruire gli incisivi laterali e il canino destro tramite materiale composito.
Dopo aver preso un impronta dell’arcata superiore in alginato, è stata realizzata una ceratura diagnostica tramite la quale si è simulata la grandezza ottimale dei denti. Successivamente è stata realizzata una mascherina in resina sulla base della ceratura diagnostica da utilizzare alla poltrona nella fase della ricostruzione degli elementi.
Dopo aver isolato il campo operatorio tramite la diga di gomma, si è provveduto alla stratificazione del composito utilizzando la mascherina precedentemente realizzata, come supporto per il materiale.
La fase di lucidatura finale è stata realizzata in una seduta successiva per controllare il colore delle ricostruzioni dopo che si è ottenuto la reidratazione degli elementi.
Prima


Isolamento

Modello ceratura diagnostica "preparato in laboratorio, dovrà essere riempito in composito come guida per l'allungamento del profilo dei laterali".


Risultato finale dopo la lucidatura





