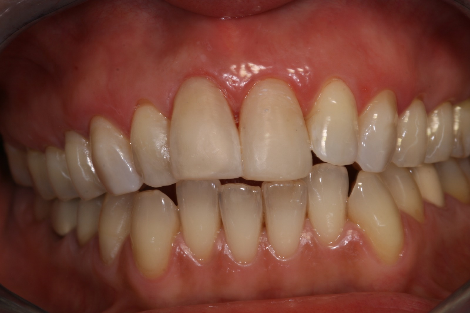
Donna di 40 anni che presenta abrasioni avanzate nelle porzioni vestibolari degli incisivi centrali superiori e del laterale superiore destro.
La paziente desidera ripristinare la superficie degli elementi dentari per migliorare il suo sorriso.
Il trattamento ha previsto l’isolamento degli elementi dentari tramite diga di gomma, la regolarizzazione dei margini delle lesioni e la successiva ricostruzione degli elementi tramite materiale composito.
Una seduta a distanza di qualche giorno ha permesso il controllo delle ricostruzione e la
lucidatura finale.
Prima

Isolamento

Dopo

Lucidatura




