BAMBINO DI 12 ANNI CON ENTRAMBI GLI INCISIVI CENTRALI FRATTURATI
Paziente di 12 anni che presenta la frattura della porzione incisale di entrambi gli incisivi superiori.
Viene presa un’impronta superiore in alginato per la realizzazione di una mascherina in silicone su ceratura diagnostica da utilizzare al momento della ricostruzione diretta con materiale composito.
Il giorno stabilito per la ricostruzione , viene montata la diga di gomma per isolare il campo operatorio, dopodiché si utilizza la mascherina in silicone per realizzare la porzione palatina delle ricostruzioni , mentre con delle matrici curve in metallo si ricostruiscono i bordi mesiali e distali di entrambi i denti.
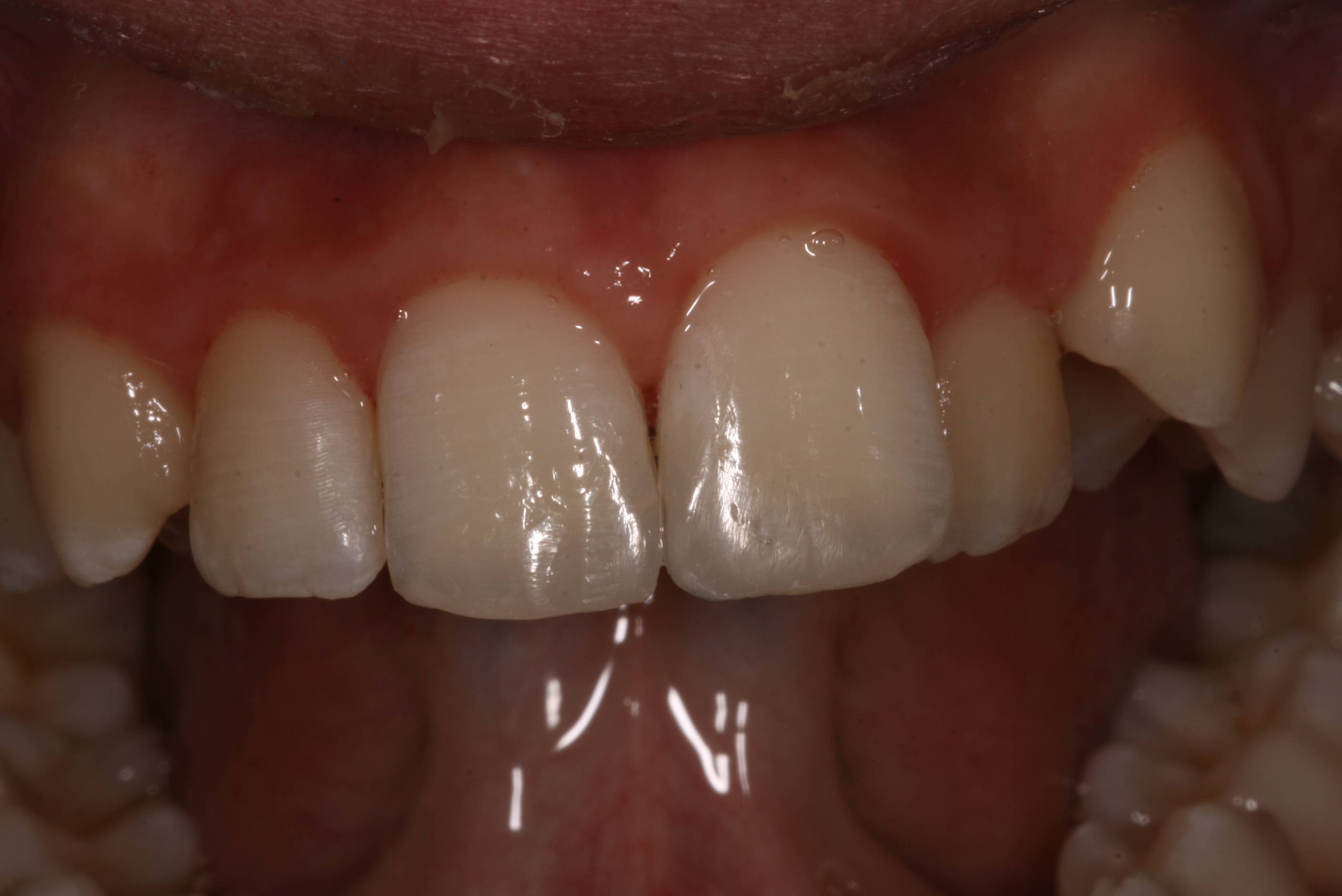
Una volta terminata la fase di ricostruzione degli elementi su procede alla loro lucidatura.

Prima

Prima

Isolamento

Isolamento

Ricostruzione

Lucidatura finale



