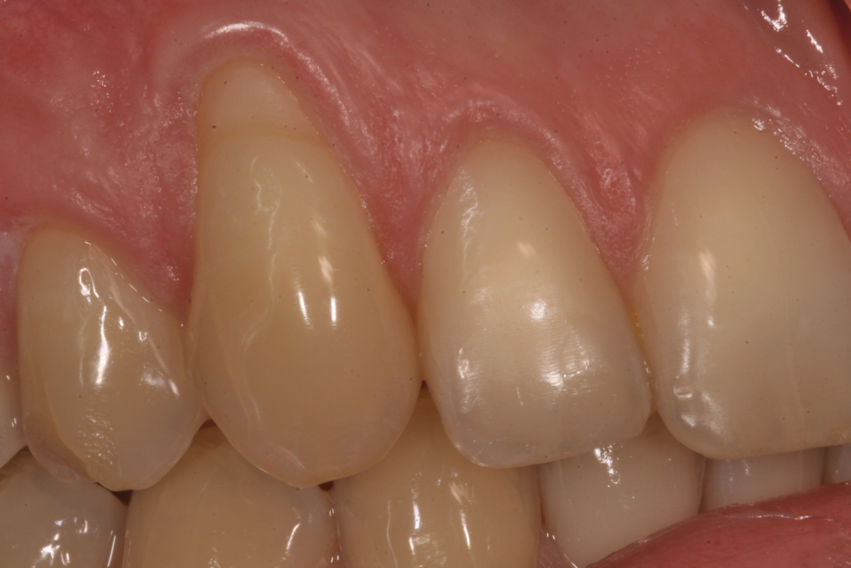
Ragazzo di 20 anni che presenta una retrazione gengivale a carico dei due canini superiori, provocata dalla posizione leggermente più esterna degli elementi, associata ad un trauma da spazzolamento.
Un'esposizione radicolare comporta spesso un aumento della sensibilità al caldo ed al freddo ed inoltre peggiora l'estetica del sorriso alterando le proporzioni di lunghezza dei singoli elementi dentari.
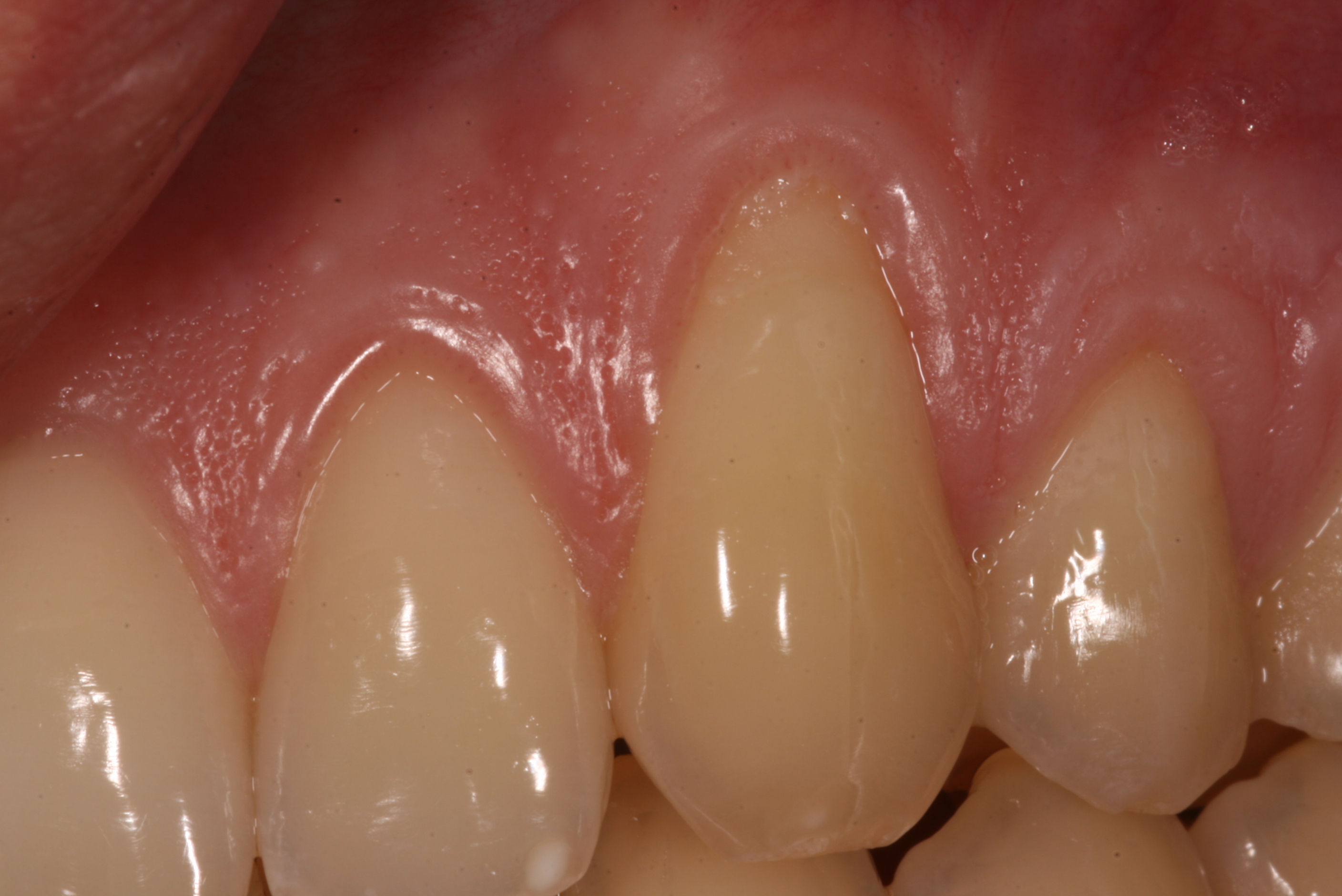
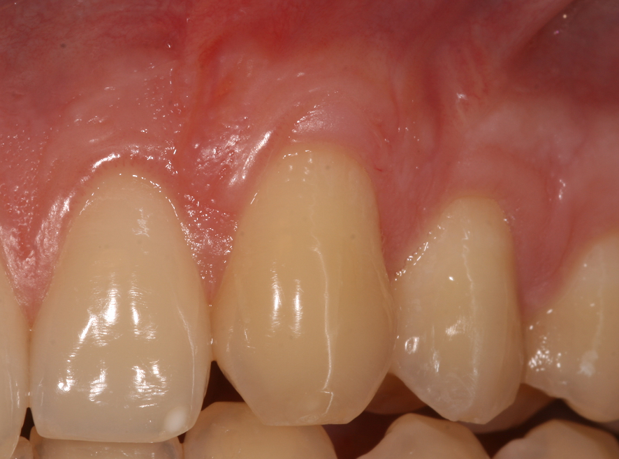
Vengono realizzati due interventi (a circa 3 mesi di distanza l'uno dall'altro) di chirurgia muco gengivale, con spostamento del lembo coronalmente associato ad un innesto di tessuto connettivale prelevato dal palato.
Questo tipo d'intervento garantisce la ricopertura radicolare e la stabilizzazione del risultato ottenuto tramite l'ispessimento del connettivo per mezzo dell'innesto.
Primo Intervento
Prima

Dopo

Secondo Intervento
Prima

Dopo




